Blanqueamiento Dental

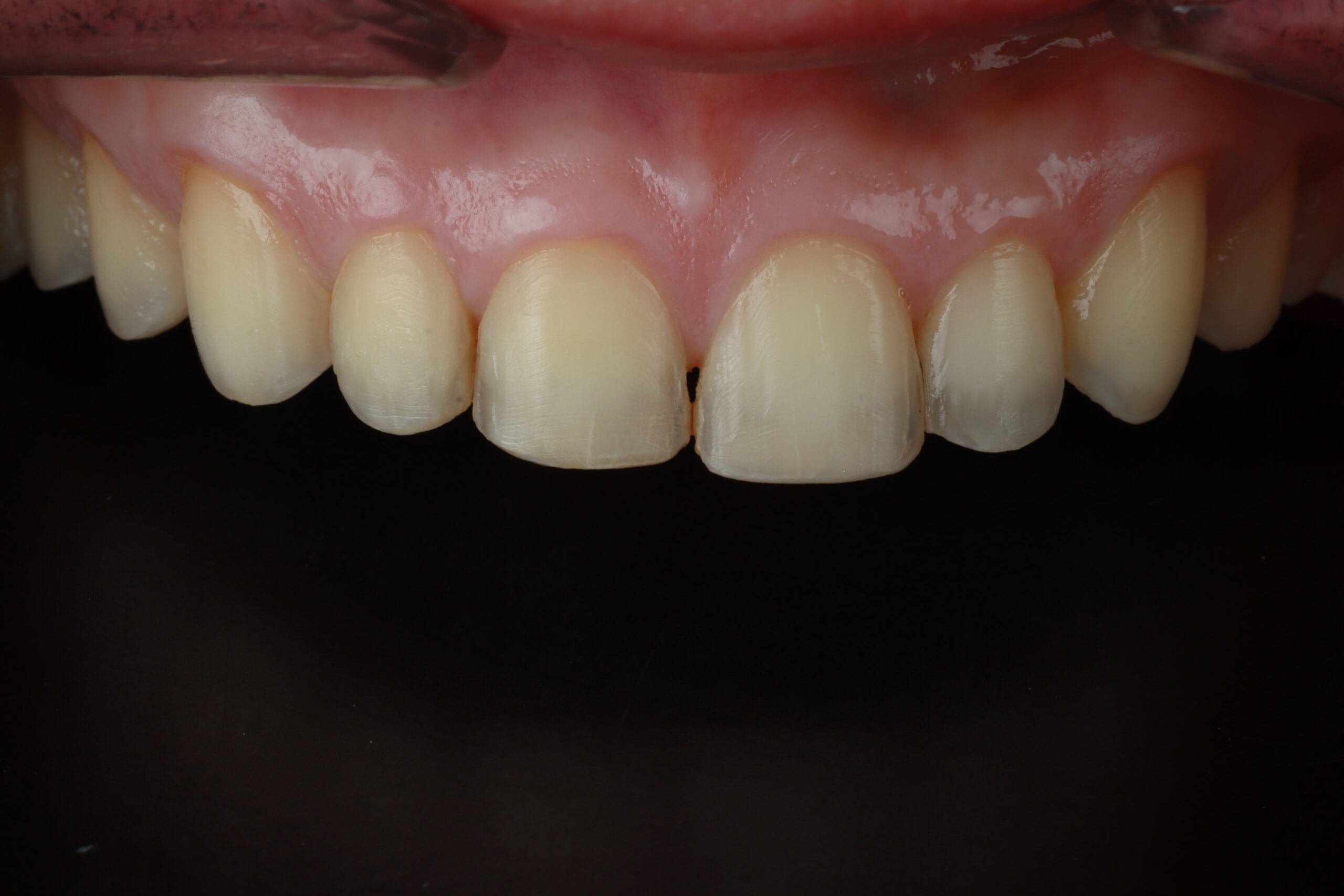
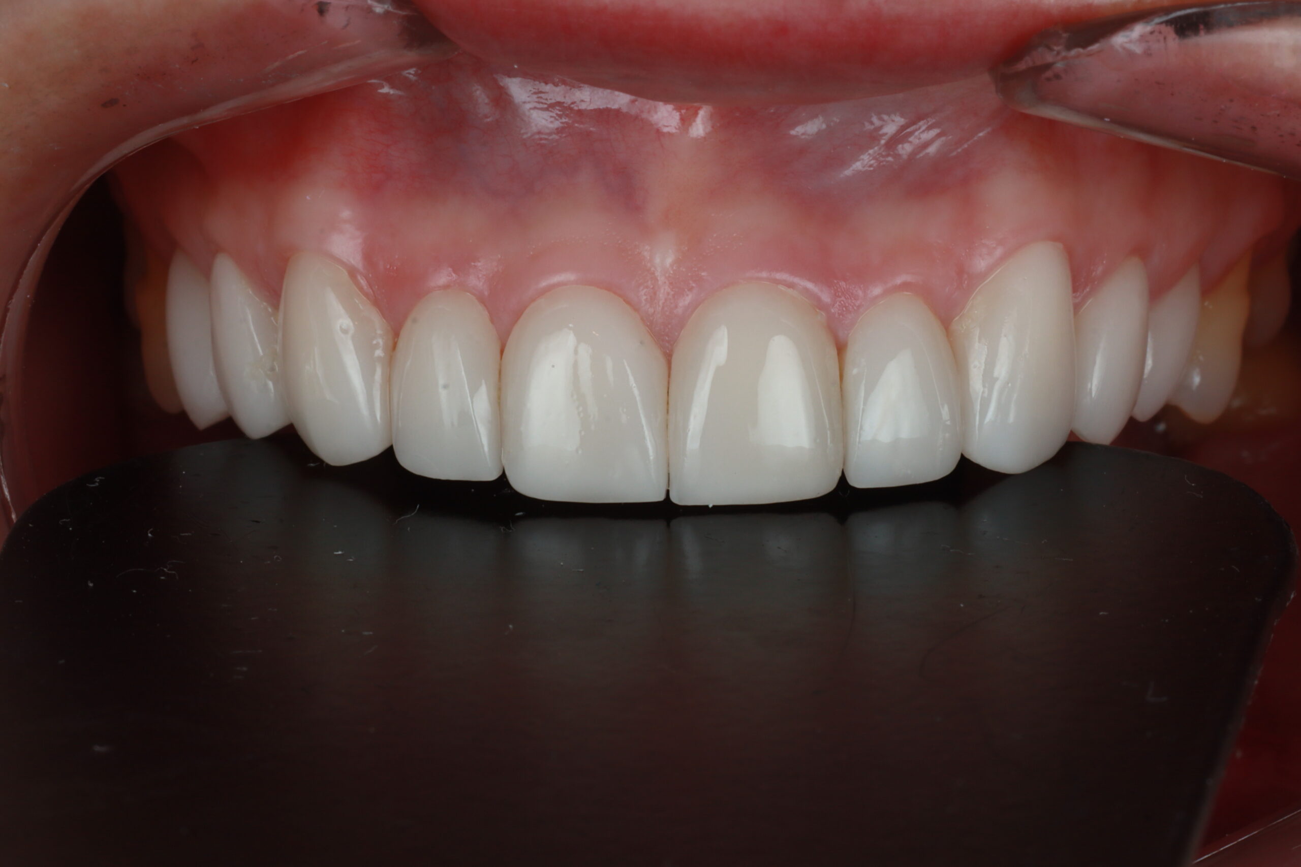
El blanqueamiento dental es un tratamiento popular en odontología estética que ayuda a eliminar manchas y decoloraciones en los dientes, dejándolos más blancos y brillantes. Al utilizar agentes blanqueadores como peróxido de hidrógeno o peróxido de carbamida, este procedimiento restaura la luminosidad de tu sonrisa. Con una sonrisa más blanca y atractiva, es natural que te sientas más seguro y feliz contigo mismo. En Bg Odontólogos, contamos con especialistas en estética dental que están comprometidos a brindarte un blanqueamiento dental seguro y efectivo. ¡Déjanos ayudarte a alcanzar una sonrisa con tu mejor versión!

¿Por qué elegir nuestro blanqueamiento dental?

Resultados visibles y seguros: Utilizamos técnicas avanzadas y productos de alta calidad.

Tratamiento personalizado: Adaptado a tu tono dental y necesidades estéticas.

Rápido y efectivo: Notarás la diferencia en poco tiempo.


Atención especializada

 

¿El blanqueamiento dental es adecuado para ti?

Si estás buscando mejorar el aspecto estético de tu sonrisa, el blanqueamiento dental puede ser la solución que necesitas. Este tratamiento está recomendado para personas mayores de 18 años con una buena salud bucal que desean tener dientes más blancos y brillantes. El blanqueamiento dental es especialmente efectivo para eliminar manchas causadas por el consumo de alimentos y bebidas pigmentadas, así como el tabaquismo y el envejecimiento. Sin embargo, antes de comenzar el tratamiento, es esencial consultar a un odontólogo para obtener una evaluación profesional y determinar el método de blanqueamiento más adecuado para ti.