Diseño de sonrisa

Transforma tu sonrisa y aumenta tu confianza con nuestros diseños personalizados.

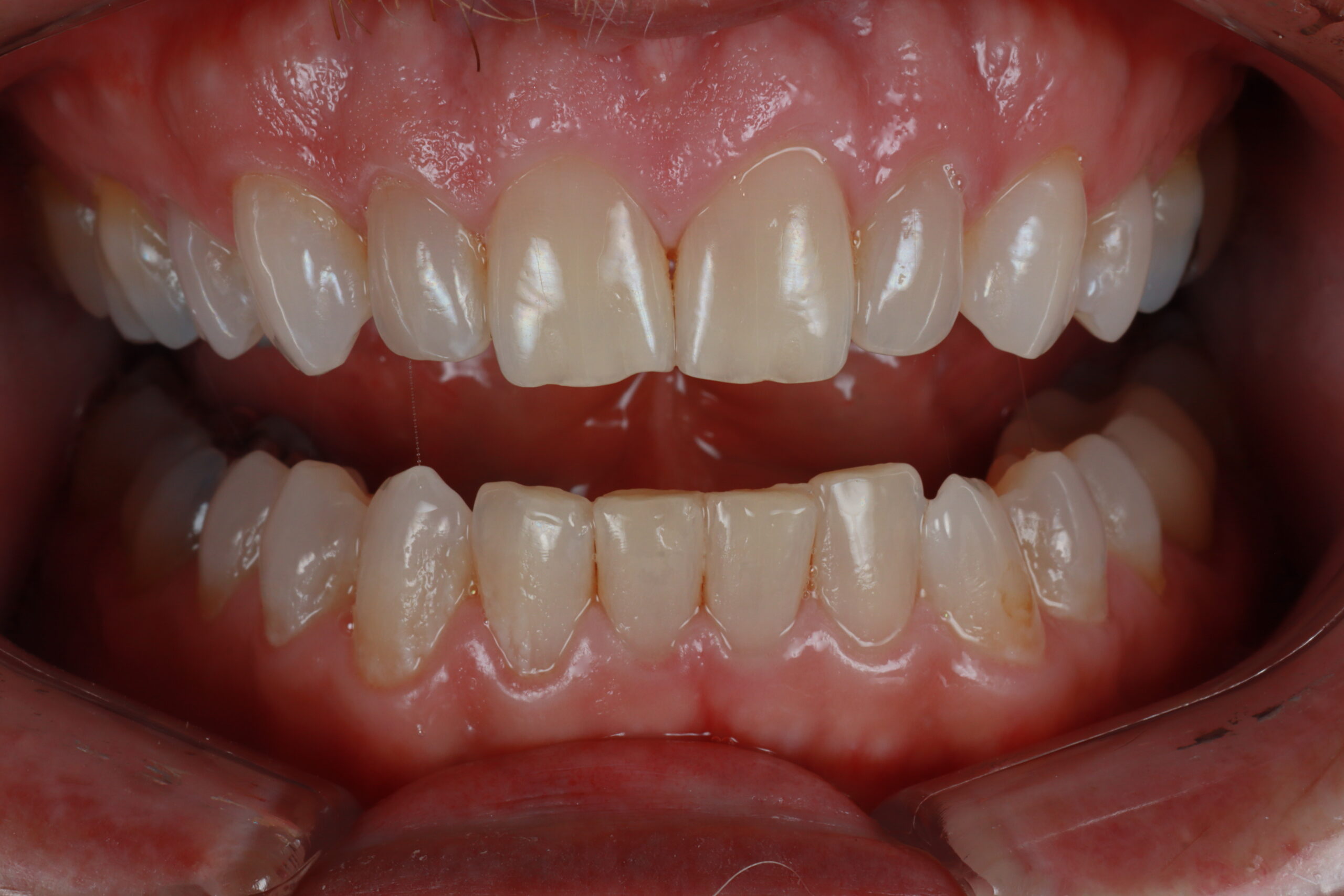
La sonrisa es tu carta de presentación en cualquier situación, por eso es importante cuidar su apariencia y salud. En Bg Odontólogos, entendemos la importancia de una sonrisa radiante, por eso te ofrecemos el diseño de sonrisa, un tratamiento completo que va más allá de la estética dental.

Con el diseño de sonrisa, no solo mejorarás tu aspecto, sino también tu autoestima y bienestar general. ¿Estás preparado para dar el paso hacia una sonrisa que refleje tu mejor versión? Déjanos guiarte en este camino hacia una sonrisa más saludable y atractiva.

¿Por qué elegir un diseño de sonrisa?

Mejora tu confianza.
Corrige imperfecciones y mejora la salud dental.
Resultados personalizados.
Logra una sonrisa radiante y natural.

Diseño de sonrisa en cerámica

En Bg Odontólogos, ofrecemos un excepcional diseño de sonrisa en cerámica para aquellos que desean una transformación dental duradera y estéticamente impecable. Nuestro equipo de especialistas en estética dental utiliza las últimas tecnologías y materiales de alta calidad para crear carillas y coronas personalizadas que se adaptan perfectamente a tus dientes. Con el diseño de sonrisa en cerámica, puedes corregir imperfecciones como manchas, irregularidades y desgaste del esmalte, logrando una sonrisa natural y radiante que te hará sentir seguro y orgulloso.

Diseño de sonrisa en resina

En Bg Odontólogos, ofrecemos el diseño de sonrisa en resina, una opción más rápida y económica para mejorar tu sonrisa. Nuestros dentistas expertos en estética dental utilizan materiales compuestos de alta calidad para realizar carillas dentales y rellenos dentales directamente en el consultorio, brindándote resultados estéticos satisfactorios en menos tiempo. Con el diseño de sonrisa en resina de Bg Odontólogos, puedes lograr una sonrisa más brillante y atractiva de manera cómoda y conveniente.

RECOMENDACIONES POST DISEÑO DE SONRISA

Para pacientes con resina compuesta o carillas cerámicas
CUIDADOS INMEDIATOS (Primeras 24–48 horas)

No consumir:

– Hielo

– Tostadas duras

– Chicles o caramelos pegajosos

– Manzanas enteras (córtalas en trozos)

Esto evita fracturas tempranas y protege los bordes del diseño.

Especialmente en diseños en resina.

Evita morder uñas, lápices o usar los dientes como herramienta.

CUIDADOS A MEDIANO PLAZO

– Cepillado suave con cerdas suaves 3 veces al día.

– Uso de hilo dental todos los días.

– Enjuague sin alcohol si hay sensibilidad.

Especialmente en resina:

– Café

– Vino tinto

– Té negro

– Salsa de soya

– Cigarrillo

Si los consumes, enjuaga o cepilla después.

CUIDADOS DE PROTECCIÓN

Indispensable en pacientes con bruxismo o apretamiento.

Recomendado para boxeo, artes marciales, fútbol o baloncesto.

SENSIBILIDAD Y AJUSTES

Desaparece en 48–72 horas.

– Cada 6 meses en resina.

– Una vez al año en cerámica.

– Morder uñas

– Morder hielo

– Fumar

– Usar dientes como herramienta

– Morder bolígrafos u objetos duros

SIGNOS DE ALERTA

– Movilidad del diseño

– Dolor intenso

– Inflamación persistente

– Fractura de algún borde

– Cambios de color en resina

BG Odontólogos
Cuidamos tu nueva sonrisa.